Teeth Whitening
Teeth discolor for various reasons, including staining from food substances and liquids such as tea and coffee, following root canal treatment, and age.



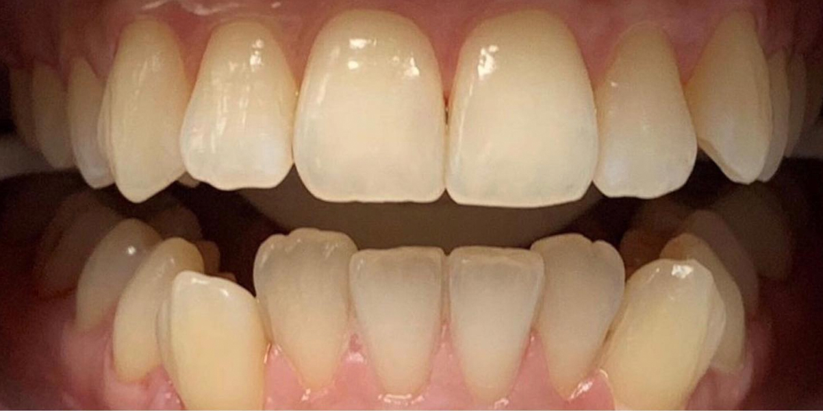
Teeth whitening is a straightforward way of lightening the color of your teeth and ‘freshening up’ your smile without causing irreversible damage to the tooth surface. It does not change the color of the teeth, but it makes them lighter and successfully gives the appearance of a bright, white, and beautiful smile. It involves using chemicals to oxidize and remove the color compounds within the teeth.
Teeth Whitening Procedure
Tooth whitening is a safe procedure when carried out under professional supervision. However, treatment results usually depend on the severity of the discoloration and may take several visits to complete. To stabilize the result, we typically require periodic ‘top-ups’ to be maintained, providing you with the gel for this.
Different Techniques
We use various researched techniques and materials from leading manufacturers to achieve the best results in the shortest time possible. We look forward to seeing you for a consultation where we can discuss the various types of whitening procedures and provide you with a unique treatment sequence tailored to your specific discoloration.

